【症例】正中離開に対するダイレクトボンディング治療

治療内容
ダイレクトボンディング治療期間
1日(カウンセリング除く)治療回数
1回(カウンセリング除く)費用
110,000円(税込)(55,000円/本)治療前・主訴
今回の患者様は「前歯の離開を治したい」ということで、他の歯科医院からのご紹介により来院されました。

まずは色の確認のため、コンポジットレジンを複数色滴下して写真を撮影しました。
治療詳細

以下のように治療を行っていきます。
①ラバーダム防湿
②むし歯の除去
③削っていない歯面に対しての接着処理
④ダイレクトボンディング
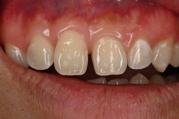
こちらがダイレクトボンディング直後の状態となります。

このあと、ラバーダム防湿を除去、かみ合わせの調整と研磨工程を経て治療完了です。
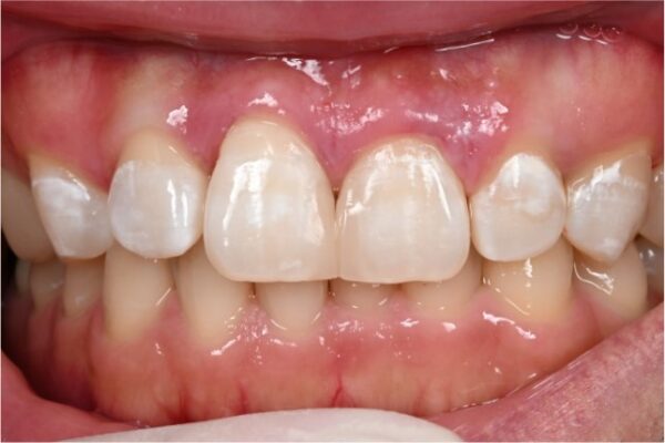
治療後の様子
研磨終了後の状態になります。ラバーダム防湿を行っていた部位は乾燥により白く白濁していますが、時間とともに元の色へ戻っていきます。

主な副作用・リスク
1.経年劣化が起こる
コンポジットレジンは、時間経過とともに変色や着色が起こります。虫歯と勘違いされることも多いですが、ほとんどが着色や変色による汚れです。充填部分を中心に、黒や茶色の模様がだんだんと目立つようになります。この劣化のスピードは、患者様のプラークコントロール(歯磨きのクオリティ)に、ある程度依存すると言われています。
2.二次カリエスのリスクがある
二次カリエスとは、虫歯治療を行った歯が再び虫歯になることを言います。より高い接着技術により、隙間ができないようコンポジットレジン充填をしますが、年月の経過とともにどうしても天然歯と充填物の間に隙間が生じやすくなります。一度でも虫歯治療を行うと、目に見えないほどの隙間(段差)に歯垢(プラーク)がたまりやすくなり、虫歯のリスクが高くなってしまいます。
3.脱落や破折が起こる
強い衝撃が加わったり、接着部が劣化したりすると、コンポジットレジンが脱落したり破折したりすることがあります。また、噛み合わせが悪い場合にも、同様のトラブルが起こる可能性があります。
4.ダイレクトボンディングが適応できない部位がある
充填する材料がプラスチックなので、噛む力を強く受ける部位や、治療する歯の面積が広すぎる場合には適していません。基本的には、「小さな虫歯がある部分」や「前歯の隙間や欠け」などの治療に適しています。ご自身が適応可能かどうかは、事前に担当の歯科医師とご相談ください。
正中離開の治療法について
「正中離開」の治療方法は下記のようにいくつか存在します。
①矯正治療(一部or全部)を行い、歯の移動により離開を埋める
②ダイレクトボンディングにより改善する
③クラウン、ラミネートベニアなどの補綴治療にて改善する
それぞれについてご説明します。
①矯正治療(一部or全部)を行い、歯の移動により離開を埋める
これが理想的な選択肢であると私は考えています。
今回のケースで一番患者様が気にされていたのは、上顎の前歯2本です。この2本は真ん中で離開していますが「捻転」(歯が正しい方向に生えていないこと)も併発しています。さらにその横、2番目の側切歯にも捻転がみられます。これらをすべて改善するとなると、歯の位置そのものを移動させる矯正治療が理想的となります。
②ダイレクトボンディング
「矯正治療は敷居が高い」という方に次におすすめするのが今回のダイレクトボンディングになります。
(今回はむし歯も併発していたため歯を削っていますが)状況によってはまったく歯を削らずに離開を改善することも可能です。
ただし歯の横幅が大きくなるため、前歯のバランスが崩れてしまう可能性があります。
③ラミネートベニア、クラウン
「矯正治療は敷居が高い、でも歯の捻転なども改善して完璧な見た目にしたい」そんな方への選択肢になり得るのがラミネートベニア、クラウンになります。
デメリットとしては歯を大幅に削る必要があることです。場合によっては歯の神経を取る根管治療を行うこともあります。しかし、歯の形を一から作り直すことができるという大きなメリットがあります。作り手、すなわち歯科技工士さんとの共同作業となりますので両者の手腕に依存します。当院のクラウン(セラミック)症例はこちらを御覧ください。
【症例】矯正治療終了後に前歯の審美障害をオールセラミッククラウンにて修復|症例|三好歯科 自由が丘
三好歯科 自由が丘では、可能な限りの治療選択肢の提示およびメリット・デメリットの説明、処置後の治療内容の解説を口腔内写真など視覚媒体を併用して行っております。現在治療について悩んでいることや困っていることなどがあれば、ぜひお気軽にご連絡ください。
三好歯科 自由が丘 歯科医師 望月
こちらもご参照ください。
【症例】ダイレクトボンディングによる歯の修復と、コンポジットレジン(CR)修復(保険診療)との違いについて|症例|三好歯科 自由が丘

