東京都世田谷区奥沢5丁目25−9 インディペンデンス5F|自由が丘駅南口徒歩1分
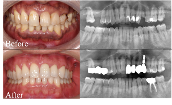
【症例】問題のある部位のみの治療VS全体を見据えた治療計画
2025/11/27
症例
自由が丘の歯医者・歯科「三好歯科 自由が丘」は駅徒歩1分、土日診療、ご相談に応じて診療時間外でも対応する通いやすい歯医者です。今回は、口腔内の様々な問題を抱えた患者様の症例です。患者様とご相談の結果、…
2025年12月〜2026年1月の休診日のお知らせ
2025/11/25
お知らせ
自由が丘の歯医者・歯科「三好歯科 自由が丘」は駅徒歩1分、土曜診療、ご相談に応じで診療時間外でも対応する通いやすい歯医者です。当院の2025年12月〜2026年1月の休診日をご案内します。休診・診療時…