【症例】古い詰め物が劣化した歯に対するダイレクトボンディング治療

治療内容
ダイレクトボンディング治療期間
1日治療回数
1回(カウンセリング除く)費用
66,000円(税込)治療前・主訴
今回の患者様は、「古い詰め物の劣化を放置していたら最近冷たいものがしみるようになってきた。」とのことで来院されました。

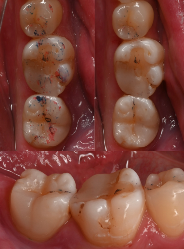
治療前の状態です。
赤と青の印記がされています。これは反対の歯、今回で言うと上の歯と噛み合っているところを可視化したものです。この印記からは、かなり噛む力が強く、噛み締めや食いしばりが強い方であることがわかりました。
歯ぎしり等によって、本来点で接していた歯が段々と面で接触することになっていきます。そして接触面積が増えることにより印記の量も増えていきます。

上の画像は今回治療した歯の1本手前の歯です。真ん中あたりに穴が空いており、コンポジットレジン修復がされていますが、この材料は歯より柔らかく経年的にすり減っていきます。穴から歯の内側が見えているわけですから冷たいものがしみたり、2次的な虫歯になったりする可能性があります。
この話だけを聞くと、歯ぎしり食いしばりのある患者様に対しては、コンポジットレジンは適応ではないと思われるかもしれません。
しかし、上の画像のコンポジットレジンは10年以上も前のものです。近年使用されているものは物性が向上しておりこの咬耗(歯ぎしり、食いしばりにより歯や歯科材料がすり減ること)に対してある程度対応できるようになってきています。
また貴金属の高騰により、銀歯などによる治療は保険診療からなくなる日も近いかもしれません。この背景からもコンポジットレジンの適応範囲の拡大がされてきています。
今回の症例でも患者様とご相談のうえ、コンポジットレジンを直接接着させる「ダイレクトボンディング」による修復治療を行うこととしました。
治療詳細
治療中の写真です。






治療後の様子
治療終了時の写真です。

主な副作用・リスク
1.経年劣化が起こる
コンポジットレジンは、時間経過とともに変色や着色が起こります。虫歯と勘違いされることも多いですが、ほとんどが着色や変色による汚れです。充填部分を中心に、黒や茶色の模様がだんだん目立つようになります。この劣化スピードは患者様のプラークコントロール(歯磨きのクオリティ)に、ある程度依存すると言われています。
2.二次カリエスのリスクがある
二次カリエスとは、虫歯治療を行った歯が、再び虫歯になることを言います。より高い接着技術により、隙間ができないようにコンポジットレジン充填をしますが、年月が経てばどうしても、天然歯と充填物の間に隙間が生じやすくなります。一度でも虫歯治療を行うと、目に見えないほどの隙間(段差)の部分に歯垢(プラーク)がたまり、虫歯になりやすくなってしまいます。
3.脱落や破折が起こる
強い衝撃が加わったり、接着部が劣化したりすると、コンポジットレジンが脱落や破折することがあります。噛み合わせが悪い場合も、同様のことが起きる可能性があります。
4.ダイレクトボンディングが適応できない部位がある
充填する材料がプラスチックなので、噛む力をもろに受ける箇所や、治療する歯の面積が広すぎる場合は、向いていません。基本的には、「小さな虫歯がある部分」「前歯の隙間や欠け」などの治療に適しています。ご自身が適応可能かどうかは、事前に担当の歯科医師とご相談ください。
適応の広がるダイレクトボンディング治療で歯の長期予後が望めます
今回の症例の患者様は歯科医師で、なおかつダイレクトボンディング治療の著名な講師の一人です。そのような方に信用されて治療を任せていただけることは誠に光栄です。
私たちの扱う「歯牙」は一度失うと回復しない臓器です。また一定以上歯牙を失うと抜歯のリスクが上がっていきます。
ダイレクトボンディング治療はなるべく残存歯を残しつつ、最大限のパフォーマンス・長期予後を目指すための治療です。
ただし、ラバーダム防湿やその他複雑なステップを踏むため患者様にも長時間の治療に協力していただく治療になります。
ご興味のある方はカウンセリングのみでも対応可能(保険診療内でのご負担でレントゲン撮影などは行います)ですのでお気軽にご連絡ください。
三好歯科 自由が丘 歯科医師 望月
こちらもご参照ください。
【症例】ダイレクトボンディングによる歯の修復と、コンポジットレジン(CR)修復(保険診療)との違いについて|症例|三好歯科 自由が丘

