【症例】神経が壊死し、その周囲の骨が大きく欠損した歯への根管治療

治療内容
根管治療、支台築造、仮歯、フルジルコニアクラウン期間
治療そのものは3ヶ月程度経過観察期間 1年半程度
治療回数
全て合わせて6回程度費用
約300,000円治療前・主訴
今回の患者様は、30代の女性で、左下の歯が噛むと痛い、違和感があるとの主訴で来院されました。何もしていなくてもたまに痛くなるとのことで、日常生活にも影響がある様子です。
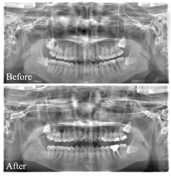
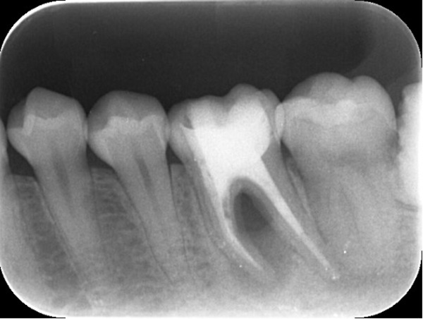
こちらが初診時のX線写真です。


X線で左下6番周囲の骨が明らかに欠損していることがわかります。この段階で神経が壊死している(歯髄失活)可能性、歯周病の可能性などが考えられ、様々な検査を行いました。
検査の結果、痛みの原因は主に歯髄失活によるものだと考えられました。結果として、大きく骨を破壊され、軽度の歯周病の病変と繋がっているという診断となりました。
神経が壊死した主な理由は、2年程前に治療した大きなむし歯の治療の結果として神経が耐えられなくなった、新たな細菌感染が生じていた、普段の生活により無理な力がこの歯にかかっていた、などの可能性が考えられました。
(詳しくは最後の見出し「今回のケースから学ぶ、根管治療の真実」をご参照ください。)
このような病変は、歯科医療の分野では混合病変(perio-endo)と呼ばれており、治療の難易度が上がる一方、治療の成功率は下がるという厄介な状況でした。
続いて、どのように治療をしたかを解説します。
治療詳細
実際に治療を進めていく様子です。
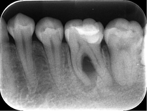
マイクロスコープ下で昔の詰め物を除去していきます。

う蝕(むし歯)検知液を用いるとX線では断定しきれなかった、新たなむし歯が確認できます。

むし歯を取り切り、神経(歯髄)の存在している髄腔まで到達しました。

神経が生きている歯だと出血がありますが、今回は術前の診断通り、既に神経が死んでいるため出血がありません。中からは独特の腐敗臭がします。
(※出血が絶対に起こらない訳ではありません)
通常の方法で、根管治療を行います。

治療後の様子
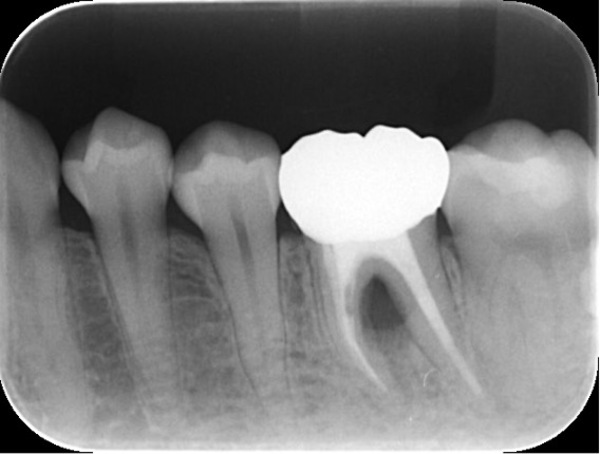
こちらが根管治療終了後のX線写真です。

治療開始時点で症状は和らいでおり、根管治療が終了した段階では完全に症状が消失しておりました。
通常であれば、ここから仮歯にて数カ月経過観察を行い、次の判断をしていきます。
今回は患者様のご都合もあり、最終的なセラミックの歯を仮止めする形での経過観察となりました。
仮止め6ヶ月後の経過観察写真です。患者様のご都合で少し間が空きましたが、その間も無症状でした。

こちらは比較用初診時X線写真です。

治療前後を比較してみると、順調に骨が回復してきていることがわかります。しかし、まだ根と根の間、根分岐部と呼ばれる部分の骨が完全には上がってきておりません。
このまま骨が上がらない可能性もありますが、今回は上がってくる可能性が高いと判断し、患者様とも確認をしつつ引き続き年単位で経過を見ていきます。
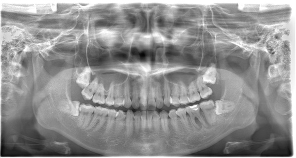
こちらが根管治療終了後から1年3ヶ月後のX線写真です。


完全に骨が回復したと言って良い状況となりました。
主な副作用・リスク
・自費診療となります。
・後日再発の可能性や破折による抜歯の可能性があります。
・治療の結果や、症状の改善を100%保証するものではありません。
・治療期間中の急な痛みの可能性や当該部位での食事はできなくなります。
今回のケースから学ぶ、根管治療の真実
今回の症例を通じて、誤解されがちな痛みと病気の関係や、当院の治療方針について皆様にお伝えしたい重要なポイントをまとめます。
今回このように歯の骨が溶けてしまった直接のきっかけは、歯髄壊死(神経が死ぬこと)と呼ばれる現象です。
歯髄壊死は、激痛を伴うこともあれば、全く無症状のまま進行することもあります。痛みの有無と病気の進行は必ずしも一致しないのです。
歯髄壊死を避けるためには、むし歯治療の段階でのMTA セメント(自費診療)の使用やメンテナンス・セルフケアの徹底などが効果的です。しかし、それでも個人差や噛み合わせなどの要素により、壊死を完全に予測・回避することは極めて困難であるのも事実です。
「前医の治療ミスやむし歯の取り残しでは?」という質問をいただくこともありますが、90%以上はそうではありません。生物学的な反応であり、誰にも(歯科医師にも)完全にコントロールできない領域があることをご理解ください。
根本的な話にはなりますが、そもそもむし歯は作らないに越したことはなく、むし歯が大きくなってしまった時点で、「いつか壊死するかもしれない」「激痛が出たりするかもしれない」というリスクとは必ず付き合っていく必要があります。
そのリスクを排除し、当面のトラブルを避けたい場合、「先回りして神経を取る」という選択肢もあります。
歯科医師によっては、むし歯治療後に歯髄壊死になりトラブルに発展することを避けるため、初めから詳しい説明なく神経を取る治療(抜髄)を行うこともあります。このような対応は日本中で散見されているのが実情です。しかし当院では安易な抜髄を良いとは考えていません。
今回は非常に予後が良いケースでしたが、全員が同様の結果になるとは限りません。また治療成功には患者様ご本人の協力も必須となります。
根管治療はいわば「確率への投資」であり、専門家が時間をかけることで初めて治療の土俵に上がれますが、それでも絶対(100%)はありません。
成功率を高めるための時間をかけた治療は、保険診療の枠組みでは不可能です。そのため当院では、原則として保険診療での根管治療は行いません。
※保険での根管治療や、根管治療なしでの自費被せ物への保証も一切ありません。
三好歯科 自由が丘では、症状や状態に応じてこうした細かいリスクや現実も全てお話しします。その上で、治療を受けるかどうかは患者様に決めていただいております。
根管治療のご相談はもちろん、他院での説明に不安を感じた方や、セカンドオピニオンをご希望の方などのご相談等がございましたら、お気軽にお問い合わせください。
三好歯科 自由が丘 院長 三好 健太郎
こちらもご参照ください。

