【症例】歯のひび割れ部分に対するオーバーレイ治療

治療内容
E-MAX(セラミック)オーバーレイ期間
1ヶ月治療回数
2回費用
165,000円(税込)治療前・主訴


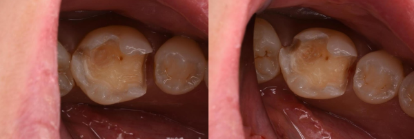
今回は、歯のひび割れ部分に対するオーバーレイ治療についての症例です。
元々の状態が上記の写真になります。
セラミックインレーが入っていましたが、薄くなった歯に一部クラック(ひび)が見つかりました。
当時は、自覚症状もなく様子見をしていましたが、定期検診にてクラック部分が一部欠けて、むし歯になっていました。
一昔前ならば、クラウンと言われる全周を囲い込む形態の修復方法をご提案しました。クラウンには、多数のメリットがありますが、
①歯の切削量が多い
②それに伴う神経へのダメージが大きい
などのデメリットも存在します。
そこで、前述した「オーバーレイ」の出番となります。
ダイレクトボンディングのブログでも何度か紹介しましたが、「接着」技術が日々進化してきています。
治療詳細

まず、既存のインレーを除去していきます。

除去した画像です。

クラック部分のむし歯を取り除いていきます。

ラバーダム防湿を行い、オーバーレイが装着できるように歯の形を整え、歯面処理を行っていきます。

形態修正、処理が終了した画像です。
ここから歯の型取りを行い、仮の蓋をして1日目は終了です。
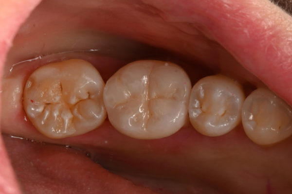
2日目です。完成してきた物を装着していきます。
ラバーダム防湿、歯面清掃、接着前処理を行い、オーバーレイを装着していきます。




治療後の様子

装着後の状態です。

主な副作用・リスク
・治療の結果や、症状の改善を100%保証するものではありません。
・治療終了後には術後性疼痛が出る場合があります。
・セラミックやジルコニアは、状況により破折してしまう可能性があります。
・術後、痛みなどの症状が出現した場合は、根管治療に移行する可能性があります。
オーバーレイは従来より歯の削る量が少ない治療法です
ダイレクトボンディングのブログでも何度か紹介しましたが、「接着」技術が日々進化してきています。
それに伴い治療選択肢にも変化が起こってきました。
歯の補強手段の基本的な選択肢は
①コンポジットレジン(切削量が少ない)
②インレー・アンレー
③クラウン(切削量が多い)
となります。歯科医師により、その基準は変わりますが、歯の残量により適切だと判断したものを選択します。
クラウンまで治療してしまうと、残された歯の保存治療は、根管治療などごく限られたものしかなく、抜歯も視野に入ってきます。
「オーバーレイ」はインレーとクラウンの間に位置します。インレー・アンレーよりは歯を削るが、クラウンよりは削りません。
インレーなどがとれた、壊れた、二次的なむし歯ができた、などといったときに今まではクラウンが選択肢でしたが、状況によりオーバーレイが選択肢に入ったことで、少しでも歯の健康寿命を伸ばす事ができると考えております。
三好歯科 自由が丘では歯の問題に対し、さまざまな治療の選択肢を提供しております。何か歯のことで気になることがございましたら、お気軽にご相談ください。
三好歯科 自由が丘 歯科医師 望月
こちらもご参照ください。

