【症例】ガムブリーチ(ガムピーリング)を用いて歯ぐきの黒ずみを改善した審美治療

治療内容
歯肉漂白(ガムブリーチ)期間
1ヶ月以内治療回数
3回費用
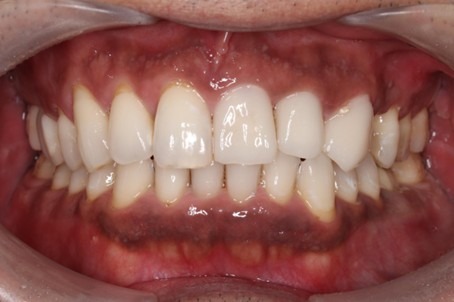
30,000円(税込) (10,000円/回)治療前・主訴
患者様は歯ぐきの黒ずみが気になるとのことで来院されました。審美的な改善を希望されたため、歯肉漂白(ガムブリーチ)による治療を行うこととなりました。
歯肉漂白(ガムブリーチ)とはガムピーリングとも呼ばれ、歯ぐきの黒ずみの原因となっているメラニンを、薬剤やレーザーで漂白する治療です。当院では薬剤を使用した治療を取り扱っており、歯ぐきの表面に漂白作用のある薬剤を塗布するだけで本来のピンク色の歯ぐきの色に戻していきます。歯ぐきが黒くなってしまう原因のほとんどが、メラニン色素の影響によるものです。これを薬品を使用して除去し、徐々に歯ぐき本来の色に戻していきます。
この治療法は痛みもなく、簡単に終了します。処置後3日程度で歯ぐき上皮と共にメラニンは自然に剥がれていきます。歯ぐきの色を綺麗にすることで、歯の白さを引きたたせてくれます。

治療詳細
治療時間は10~15分ほどになります。
2種類の薬液を使用して着色している歯肉部分を除去していきます。施術直後、歯肉は真っ白になる(歯肉の一層が剥がれている状態)ため、一時的に見た目が気になる場合があります。大切な予定の直前は避けるなど、スケジュールを考慮されることをおすすめします。
施術中の痛みはほぼありませんが、施術後に剥がれている歯肉を歯ブラシなどで傷つけてしまうと痛みが出るので注意しましょう。
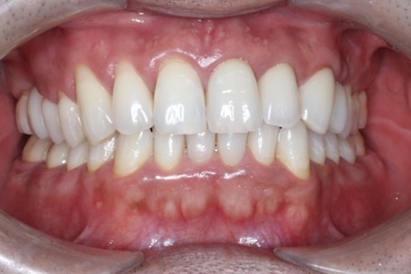
治療後の様子
ガムブリーチを3回行ったところです。歯ぐきが本来のピンク色に改善され、患者様にも大変ご満足いただけました。

主な副作用・リスク
・金属補綴物による歯肉の黒ずみ変色(ブラックマージン)はガムブリーチでは治療できない可能性がありますので施術前に歯科医師に相談してください。
・施術直後は歯肉が真っ白になります。最終的には皮膚の日焼けのように、白いところがむけてきてきれいなピンク色になります。白いうちは審美的に気になる方がいらっしゃるかと思います。気になる方は施術後2週間は重要な予定(結婚式、大事な会食など)を避けるようにしてください。
・白くなった歯肉は一時的に過敏な状態となるため、若干の疼痛が起こることがあります。また、刺激物(辛いもの)、塩分濃度の高い飲食物を避けるようにしてください。
口元の印象が明るくなるガムブリーチ
歯肉の色はご自身では気にならなくても、笑った時に意外と目に入る部分です。黒ずみを気にされる方の多くは「仕方ない」と諦めていらっしゃいますが、ガムブリーチで安全に改善できることがあります。実際に処置後は「口元が明るくなった」「笑顔に自信が持てるようになった」との声をいただきます。
特に前歯部の審美治療を行う患者さんは歯のホワイトニングと併用すれば、さらに自然で健康的な印象になります。
歯ぐきの黒ずみが気になる方は、ぜひ一度ご相談ください。何か気になることがございましたら、お気軽にご連絡ください。
三好歯科 自由が丘 歯科医師 望月
こちらもご参照ください。

