【症例】セラミック矯正により神経が死んだ歯の根管治療及び歯肉炎症等の総合的リカバリー

治療内容
根管治療、補綴歯科 ※一部、出血を含むセンシティブな口腔内写真があります。苦手な方は閲覧されないことをおすすめします。 ※患者様に許可をいただいて紹介しています。期間
約1年治療回数
13回費用
1,782,000円 (補綴:1,188,000円、根管治療:594,000円) ※クリーニング費用などは含まれません ※すべて税込治療前・主訴
みなさんは『セラミック矯正』という単語をご存知ですか?
以前、ある芸能人が『すぐに歯をきれいにしないといけないから、時間がかかる普通の矯正ではなく、セラミック矯正で歯並びを治しました』とSNSで発信して、歯科業界で物議を醸しました。
まず『セラミック矯正』という単語自体、正式な医療用語ではありません。我々歯科医師の間でもいつからか、気づいたら存在していた造語です。そしてセラミック矯正は、歯を動かして歯並びを治す通常の矯正治療とは、まったく別物になります。
セラミック矯正は簡単に説明すると、凸凹している歯を削る、もしくは抜歯してセラミックの被せ物を入れることで、歯並びを強引に整えてしまう方法です。ジャンル的には治療ではなく、“歯の美容整形”に近いと感じます。
造語にもなり、芸能人も行うセラミック矯正。流行るには理由があります。
【セラミック矯正のメリット】
1.治療期間が短い
歯を動かす通常の矯正治療は、平均1.5年~2年ほどかかりますが、セラミック矯正は来院頻度にもよりますが、だいたい3ヶ月以内には終わることが多いです(いずれも例外あり)。
2.矯正装置が必要ない
最近でこそマウスピース矯正が流行っているので、『装置が目立つから嫌』と避けていた方も、矯正を行うケースが増えてきましたが、セラミック矯正は歯を削るだけなので、そもそも装置が必要ありません。最終的なセラミックを装着するまでは仮歯を入れるため、見た目が損なわれる期間は、ほぼゼロに近いです。(マウスピース矯正にも、メリット・デメリットはあります)
3.セラミックの色はオーダーメイド
人間の歯の色は、年齢とともに黄色味が増すなどさまざまな変化があり、白くするためにはホワイトニング等の処置が必要になります。一方、セラミックは人工物のため、一部の芸能人の方のように真っ白な歯にすることも可能です。(ホワイトニングは、年単位で見ていくと色が後戻りします)
ここまで聞くと、セラミック矯正はそんなに悪くないように思えませんか?実際、私自身もセラミック矯正は100%悪いものだとは思っていません。『今すぐ歯をきれいにしたい』など、止むを得ない状況では、必要な選択肢になることだってあります。ただしそれは、患者様への十分なリスク等の説明、同意があって、初めて成り立つものです。
また、これはすべての治療に言えますが、歯科医師に『正しい治療を行える知識と経験、技術』がないと成り立ちません。
実際、その芸能人の発信にコメントした、多くの歯科医師の言葉は『セラミック矯正は悪』『一般に広めるものではない』『芸能人に憧れて真似をしたらどうする!』など、厳しい批判がほとんどでした。
なぜ、そのような批判が飛び交うのか?
答えは、歯科業界の人間なら分かります。セラミック矯正を行った後、何十年どころか数年以内に多くの問題が起きて、悲惨な状態に陥る患者様が非常に多いからです。
当院は開院してからまだ3年ほどしか経っていませんが、セラミック矯正後のトラブルを抱えて来院された方は、歯複数本に渡る大きなトラブルを持つ方だけでも30人以上います。都心という場所柄もあるのでしょう、『綺麗でありたい』『歯並びを素早く治したい』『歯を白くしたい』と、美しさを求めてセラミック矯正を希望する患者様は、若い女性を中心に非常に多いと感じます。
なぜセラミック矯正でトラブルが起こるのか、歯がどういう状態になってしまうのか、この症例を見ていただけたら、少し理解が深まるかもしれません。では、詳しく見てみましょう。
<患者様の状態>
患者様は30代の女性で、セラミック矯正後のトラブルを抱えており「前歯の歯茎に違和感と痛みがある」「自然な見た目の歯に戻したい」という主訴で来院されました。


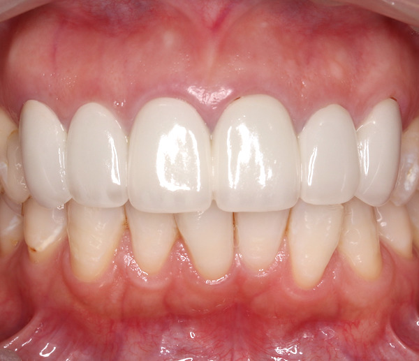
当院で治療に入る前は、ほぼ必ず、このような口腔内写真を撮影します。
これらの写真を見て、みなさんは何か気になることはありますか?恐らく、歯科医療関係者でなければ『前歯に何か被せ物が入っている?』と思う程度ではないでしょうか。確かに、他の天然歯と比較すると“認識できる被せ物”が入っています、これは審美の価値観によって分かれるポイントで、医学的にはあまり関係がありません。
我々が見るとすぐに、下の写真の青丸部へ目が行きます。

ただの隙間のようにも見えますが、本来、正常な歯肉や被せ物であれば、これは見えません。
『何かおかしいことが起きている』と判断されます。また、実はこの歯は6本ともつながっているため、歯と歯の間にフロスは一切入りません。これも患者様としては、非常に気になるとのことでした。
では次に、前歯のX線写真を見ていきましょう。



このX線写真3枚から分かることは2つです。
1.根の先に病巣が存在する
2.被せ物と歯の間に大きな隙間がある
根の先の病巣は、本来、神経がない歯(過去に根管治療を行った歯)に存在することが多いですが、今回は根管治療をしたことがない歯にも見られます。これは、セラミック矯正で歯の向きを変えるために、歯を無理やり大きく削った『歯の過剰切削』によって、歯の神経が自然に死んでしまったということです。
このような根尖病巣が確認できる歯や、被せ物と歯の間に隙間が見られる歯は、基本的には治療の対象になります。
多くの患者様はセラミック矯正を行った時点で多くの治療費用を支払っているため、今から根管治療をやり直して被せ物まで替えるというのは、経済的に大きな負担になります。しかし今回のケースでは、『患者様が自覚できるレベルの症状がある』『患者様がイチから治療を希望している』ことから、すべて治療することになりました。
治療詳細
1.被せ物の除去と、治療中の見た目を維持するため仮歯へ変更
被せ物をすべて外して、口腔内の写真を撮影しました。ショッキングな画像ですが、被せ物と歯の適合が著しく悪かったことにより、被せ物の下は歯肉炎症、細菌感染、根管充填剤が肉眼で見える(ピンク色)、神経が存在する部分に穴が空いたままになっているなど、凄惨な状況になっていました。


最初の写真から、中がこのようになっていることを想像できたでしょうか?我々ですら、被せ物を外してみるまで詳細が分かりませんでしたが、『症状が出るのも当然だ』と思うほど、誰が見ても良くない状態でした。
2.毎回、仮歯を付け外ししながら前歯6本の根管治療
下の写真をご覧ください。


治療中、被せ物の不適合と炎症が治まるのに伴い、歯と歯の間の歯肉(歯間乳頭)が凹んできているのが分かると思います。これは生体反応としては当然で、腫れていたものが元の正しい姿に戻るため起きます。もちろん、腫れる前はきれいな歯肉形態なのですが、一度大きな炎症が起こると、このように見た目に影響が出るほど歯肉の位置が変化してしまいます。
今回は前歯の審美症例のため、最終的な被せ物を装着するまでの過程で、この凹みも可能な限り回復させます。
根管治療がひと通り終了し、新たな土台(コア)を立てて仮歯の修正をしながら、患者様にも協力いただいて歯肉の炎症をコントロールしました。
治療前


治療後


いかに変わったか、違いが明らかですよね。正しい治療を行えば、ここまできれいにすることが可能です。なお、一部、歯が黒く見えるところがありますが、これは虫歯ではないので、このままにしておきます。
さて、治療はこれで半分終わりました。これまでの治療は、“家を建てる前の土地の整備や基礎工事”にあたります。土台がしっかりしていないと、いくらきれいな家を建てても意味がありませんよね。
3.次の仮歯へ移行して歯肉形態を治す
では、後半戦です。歯肉の炎症は治りましたが、歯間乳頭と呼ばれる部分に凹みがあるため、歯肉形態を治していきます。初めに入れた仮歯を微修正しつつ、次の仮歯(セカンド)を設計して作ります。

今回のケースでは、セカンドの仮歯の型取りの際、歯科技工士に立ち合ってもらい、仮歯の色と最終補綴物(ファイナル)の色合わせも、患者様を含めて3人で入念に打ち合わせました。

調整を加え、歯肉回復と根管治療の治癒の経過観察中の写真がこちらです。




仮歯は、自然な色へ近づけるには限界がありますが、赤みを入れて、この段階でもほとんど違和感がないレベルに仕上げました。また、今回は歯肉形態も非常に良く回復してくれて、とても美しい仮歯にできたと思います。
4.最終的な補綴物(ファイナル)へ移行
この状態で最低3ヶ月間、今回のケースでは半年ほど時間をおいて、症状及び経過に問題がないことを確認し、最終的な補綴物(ファイナル)へ移行しました。
その間も、メンテナンスやX線写真などは経過確認として撮影しましたが、現在のファイナルの仮着(まだ最終的な接着剤でとめていない)のX線写真がこちらです。
治療前



治療後(ファイナル仮着)



歯の根の先の黒い像が消失そして縮小傾向にある点と、被せ物と歯の間の隙間がなくなった点に注目していただければ、違いは明らかだと思います。
治療後の様子
ファイナルを接着剤で止めた、治療後の写真です。




『精密な根管治療』と『正しい被せ物』という2つが揃わなければ、良い治療には決してなりません。ポイントは『きれいな被せ物は必須条件ではない』という点です。きれいかどうか、というのはあくまで審美的な話に過ぎず、医学的にはあまり関係ない話です。『きれいだから正しいというわけではない』というのが、私がみなさんに伝えたいことです。
しかしながら当然、前歯は目立つので審美性は無視できません。そこは患者様と徹底的に擦り合わせしつつ、患者様が満足できるものに仕上げるのが、我々の仕事です。
主な副作用・リスク
・すべて自費診療となります。
・治療の結果や症状の改善を100%保証するものではありません。
・根管治療特有の偶発症が起こる可能性があります。
・術後、症状が改善しない場合は、抜歯などの外科処置を行うことがあります。
<トラブルの多いセラミック矯正 安易な選択は避けましょう>
いかがでしたか?巷で話されるセラミック矯正の闇が垣間見られたと思います。繰り返しますが、『すべてのセラミック矯正の治療結果がこうだ』という話ではありません。しかし、非常に多いのもまた事実です。
セラミック矯正の典型的なトラブルは、次の4つです。
1.神経及び根管治療によるトラブル
歯の向きを無理やり変えるため、歯をかなり大きく削ることから神経を取らなくてはいけなくなり、さらに根管治療のレベルが低くてトラブルが起きるパターン。もしくは、神経を取らないまま治療を進め、後日、歯の神経が死んでしまって治療が必要になるパターンが挙げられます。
2,歯の脱離を防ぐためだけの連結によるトラブル
歯を過剰に切削して歯の残存量が少なくなると、その上の被せ物を支える力がなくなり、歯がとれてしまう(脱離)ため、歯と歯をつなぎ合わせる(連結する)ことで防ごうとして、結果的に清掃不良やその他の問題を起こすパターンです。
3.技術不足の歯科医師と歯科技工士が、短期間で治そうとして起こるトラブル
セラミック矯正は多くの被せ物を入れるため、形の設計や仮歯、型取りなど、何から何まで非常に高い技術が必要です。
4.患者様の協力なしで治療を進めたトラブル
歯科治療は基本的に、術者の技量だけではどうにもなりません。患者様が歯磨きを頑張らず、歯科医師の指示にも一切従わないということであれば、必ず微妙な仕上がりになります。
セラミック矯正は、第一選択としてすすめられない
では、『技術がある歯科医師はなぜセラミック矯正を行わないの?』『上手い歯科医師がやればトラブルも少なくて良いのでは?』と思うかもしれませんが、技術力のある先生は皆、セラミック矯正は第一選択としてはすすめない人がほとんどです。あくまでも選択肢の一つとしては存在しますが、率先して薦めるものではありません。
歯科治療は、人工物による“延命治療”が本質です。悪いもの(むし歯など)は除去しなければいけませんが、むし歯でもない歯を削るのは、単に歯の寿命を縮めることになります。また、どれだけ上手い歯科医師が治療をしても、予期せぬことやイレギュラーは起こり得ます。インプラントなど、ある程度の予後がデータで蓄積されている治療ですら、それに該当しないイレギュラーは起こります。
では、セラミック矯正はどうでしょう?
最初にお話ししましたが、そもそもこれは造語で、医療用語ではありません。そのため、明白なデータは存在していないのです。“長く持てばラッキー”のような、賭けごとのような行為を、二度と取り返せない身体に対して、しかも病変もない部位に推奨する歯科医師は、勉強して研鑽を積んでいる先生ほどいないと思います。
この症例を通じて、私から発信したいことをまとめると、次の4点です。
1.芸能人などの影響を受けて、あまり考えずに治療を受けることへの警鐘
2.多くの方が、処置後3年以内に何かしらのトラブルで苦しんでいる
3.治療費用などの問題で、そのトラブルを放置せざるを得ない場合もいる
4.歯科医院は山程あるが、医院ごとにその腕の差は著しく異なる
歯の治療について、ご不安や疑問がある場合は、自由が丘の歯医者、三好歯科 自由が丘へご相談ください。
最後に、今回、このケースを症例として扱うことを許可してくださった患者様に、心より感謝申し上げます。長文をお読みいただきありがとうございました。
下記のページも併せてご覧ください。
三好歯科 自由が丘|診療メニュー|根管治療
三好歯科 自由が丘|診療メニュー|補綴歯科
三好歯科 自由が丘 note|SNSから抜粋シリーズ1 “セラミックと口臭”“セラミック矯正”“セラミックは臭い”

